http://犬の脾臓腫瘤に対しロボット支援下脾臓摘出術を実施した1例(病理:リンパ性結節性過形成)の画像

犬の脾臓腫瘤に対しロボット支援下脾臓摘出術を実施した1例(病理:リンパ性結節性過形成)

高齢の犬で脾臓腫瘤が見つかった場合、破裂による腹腔内出血や、悪性腫瘍の可能性も含めて評価が必要になります。本症例では脾臓腫瘤に対し外科的切除を選択し、ロボット支援下で脾臓摘出術を実施しました。
当該患者は短頭種気道症候群が比較的重度であり、術後疼痛に伴う興奮や呼吸状態の悪化が懸念されたため、低侵襲で術後疼痛の軽減が期待される術式を検討しました。加えて、ご家族のロボット手術への希望も踏まえ、術前に複数回の検討を行い、安全に実施可能と判断したうえで本術式を選択しています。
術後は創部管理と呼吸状態の観察を行い、病理組織学的検査で非腫瘍性病変(リンパ性結節性過形成)と診断されました。体調の変化やお腹の張り、急な元気消失がみられる場合は、犬・猫いずれも早めに動物病院での受診をご検討ください。

症例の概要

• 動物種:犬(パグ)
• 年齢:13歳齢
• 性別:オス(去勢済)
• 体重:11.0kg(入院時)
• 主訴:脾臓腫瘤の外科治療目的(紹介受診)
• 検査:血液スクリーニング検査、血液凝固検査、胸部レントゲン検査、腹部超音波検査、細胞診
• 診断名:脾臓腫瘤
• 術式:ロボット支援下脾臓摘出術
• 病理結果:脾臓のリンパ性結節性過形成(非腫瘍性)
• 担当獣医師名:岩田 泰介(軟部外科部門)

来院時の様子と検査・診断の流れ

術前検査として血液検査と凝固系を確認し、胸部レントゲン検査と腹部超音波検査で全身状態と腹腔内の状況を評価しました。
脾臓腫瘤では、血管肉腫などの悪性腫瘍、血腫、結節性過形成などが鑑別に挙がるため、必要に応じて細胞診や画像所見を組み合わせて治療方針を検討します。本症例では外科的切除による診断確定と、破裂リスクの低減を目的に手術を選択しました。

手術内容の説明

脾臓摘出術は、脾臓腫瘤を含む脾臓を切除することで、出血リスクを下げつつ病理診断を得ることを目的とします。本症例ではロボット支援下に脾門部の血管を封止・切断し、脾臓を摘出しました。術中の腹腔内観察では明らかな癒着や腹水は認められませんでした。
期待できることは、腫瘤の完全切除による破裂・出血リスクの低減と、病理診断に基づく適切な方針決定です。一方で、出血、感染、周術期の呼吸循環変動などのリスクは残るため、術後管理と再診が重要です。

▲手術支援ロボットによる手術の様子

麻酔管理と術中のポイント

高齢かつ短頭種では、換気管理と体温上昇に配慮し、血圧など循環指標を軸にモニタリングします。本症例では術中に循環維持のため昇圧薬を併用し、硬膜外麻酔や傍脊椎ブロック(局所麻酔)も組み合わせて疼痛管理を行いました。
安全に最大限配慮しながら麻酔管理を行いましたが、どのような麻酔にも一定のリスクは伴います。

術後の経過と今後の注意点

術後は2日目から食欲が回復し、全身状態は概ね良好でした。入院中に喉頭刺激に関連すると考えられる発咳がみられたため去痰薬を追加し、外耳道炎に対して点耳処置を行いました。退院時には術創の汚れ・滲出がみられたため、抗菌薬内服と消毒による創部清拭を追加しました。
再診(抜糸)時、創部に明らかな感染徴候はなく、病理結果はリンパ性結節性過形成で補助治療は不要と判断しました。

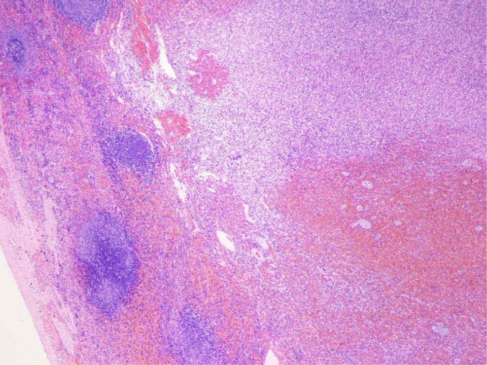
▲病理結果:リンパ濾胞様組織の過形成性増殖巣から形成され、腫瘤内の赤脾髄は血液の貯留や髄外造血により中度に拡張している。腫瘍性増殖を示す細胞や、感染性病原体は認めない。

ご家庭で注意してほしいポイント

  • 退院後しばらくは安静を基本とし、興奮や激しい運動を控える
  • 創部は指示どおりに清拭し、赤み・腫れ・滲出が増える場合は受診する
  • 咳が増える、呼吸が苦しそう、食欲低下が続く場合は早めに相談する
  • 処方薬がある場合は指示どおりに投与し、自己判断で中断しない
  • 耳のかゆみや臭いが続く場合は外耳道炎の再評価を行う
  • 再診の指示がある場合は予定を守る

同じ症状の症例を診る獣医療関係者へのメッセージ

脾臓腫瘤は良悪性の幅が広く、破裂リスクも考慮して早期の画像評価と外科適応の検討が重要です。短頭種では喉頭刺激に伴う咳嗽増加など周術期イベントも起こり得るため、退院指導で観察ポイントを具体化して共有するとフォローが円滑です。

FAQ(よくある質問)

Q1. 脾臓腫瘤は見つかったら必ず手術が必要ですか?
A. 腫瘤の大きさ、出血リスク、全身状態により方針は変わります。画像所見と血液検査でリスクを評価した上で判断します。

Q2. 病理で「過形成」と言われた場合は再発しますか?
A. 一般的には非腫瘍性病変で、脾臓摘出後に同部位で再発する可能性は高くありません。併存疾患や他臓器の所見に応じて経過観察を行います。

Q3. 退院後に受診を急ぐべきサインはありますか?
A. ぐったりする、歯ぐきが白い、急な腹部膨満、呼吸が苦しそうな場合は緊急性があります。通院回数や必要なお薬は、状態や術後経過によって変わります。

※本記事の内容は、当院で実際に診療した1例をもとにした一般的な説明です。診断や治療の方針は、犬や猫それぞれの状態によって異なります。