犬や猫では、ひも状異物や毛球の誤食により、嘔吐や食欲低下、腸閉塞様の症状を示すことがあります。本症例では腹部レントゲン検査と腹部超音波検査から消化管内異物を疑い、全身状態を評価したうえで胃切開術を実施しました。術後は胃内容停滞や炎症反応を確認しながら段階的に給餌を再開し、良好な経過で退院しました。吐こうとしても出ない、繰り返す嘔吐がみられる場合は、早めに動物病院で精査することが重要です。

症例の概要
• 動物種:犬(MIX)
• 年齢:2歳齢
• 性別:メス(避妊済)
• 体重:3.40kg
• 主訴:吐いている、吐こうとするが出ない
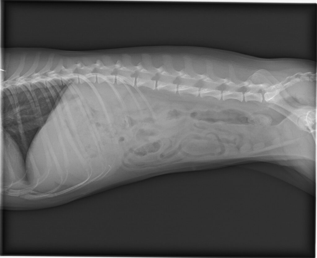
• 検査:腹部レントゲン検査、腹部超音波検査、血液スクリーニング検査、血液凝固検査
• 診断:消化管内異物/腸閉塞疑い
• 術式:胃切開術
• 担当獣医師:藤田 淳(軟部外科部門)
来院時の様子と検査・診断の流れ
来院時は活動性低下と食欲低下がみられ、嘔吐あるいは嘔吐姿勢を繰り返していました。レントゲン検査・超音波検査で消化管閉塞を強く疑う所見がありました。血液検査などでは著しい循環不全や凝固異常は確認されませんでした。鑑別としては、消化管内異物、腸閉塞、重度の胃腸炎などが挙がります。本症例では閉塞の進行や腸管障害を避けるため、緊急手術としました。

手術内容の説明
開腹下に消化管を確認したところ、胃から十二指腸にかけて連続するひも状の異物を触知しました。異物は軟性であったため慎重に胃内へ戻し、胃切開によって毛球を摘出しました。胃内には他にも毛球が認められ、あわせて摘出しました。



麻酔管理と術中のポイント
消化管外科では、循環維持と体温管理に加えて、術後疼痛と消化管運動への影響を見据えた麻酔計画が重要です。本症例では全身麻酔下に手術を行い、術中は必要に応じて循環作動薬を併用しながら管理しました。術後も疼痛管理、酸素化、尿量、体温を継続評価し、状態の安定化を図りました。
安全に最大限配慮しながら麻酔管理を行いましたが、どのような麻酔にも一定のリスクは伴います。
術後の経過と今後の注意点
胃切開後は縫合不全、腹膜炎、胃内容停滞などのリスクが残るため、術後のモニタリングが重要です。術後早期は低体温と胃内容停滞に注意してICU管理を行い、超音波検査とCRP測定で経過を確認しました。胃内容停滞は徐々に改善し、流動食から段階的に給餌を再開して退院しています。再診時には術創は良好で抜糸を実施し、その後は通常フードでも大きな問題はみられませんでした。
ご家庭で注意してほしいポイント
- 退院後しばらくは急な食事変更を避け、指示された食事内容で様子をみる
- 嘔吐、食欲低下、腹痛、元気消失があれば早めに受診する
- 術創を舐めないようにし、赤み・腫れ・滲出があれば相談する
- 誤食しやすい毛束、ひも、布類などを生活環境から遠ざける
- 軽い散歩は可能でも、激しい運動やシャンプーは主治医の指示まで控える
- 再診予定を守り、便に異物が混じる場合も情報共有する
同じ症状の症例を診る獣医療関係者へのメッセージ
ひも状異物は、単純な異物よりも腸管の引きつれや損傷を起こしやすい一方で、完全閉塞になりにくく、診断が遅れることがあります。超音波検査での胃内容停滞や十二指腸の変化が判断材料になります。術後はリークだけでなく胃運動低下も問題となるため、給餌再開のタイミングと画像フォローを丁寧に組み立てることが大切です。
FAQ(よくある質問)
Q1. 毛球や髪の毛を食べても、必ず手術になりますか?
A. すべてが手術になるわけではありませんが、閉塞や持続する嘔吐があれば外科介入が必要になることがあります。
Q2. 術後に一度吐いたら危険ですか?
A. 単回でも注意は必要ですが、反復する嘔吐や元気低下を伴う場合は再評価が勧められます。
Q3. 再発予防で最も重要なことは何ですか?
A. 誤食しやすい物を環境から除くことが基本です。通院回数や必要なお薬は、状態や術後経過によって変わります。
※本記事の内容は、当院で実際に診療した1例をもとにした一般的な説明です。診断や治療の方針は、犬や猫それぞれの状態によって異なります。