高齢の犬で性格の変化や頭を壁に押し付けるようなしぐさ(ヘッドプレス)がみられる場合、脳内の占拠性病変が背景にあることがあります。本症例では神経学的検査とMRI検査で巨大な嚢胞性髄膜腫が疑われ、脳を圧迫してヘルニアが懸念される状態でした。全身状態を評価したうえで経前頭洞脳腫瘍切除術を行い、術後MRIで嚢胞の退縮を確認しました。気になる神経症状が続くときは、早めに動物病院での精査を検討してください。

症例の概要
- 動物種:犬(トイ・プードル)
- 年齢:13歳齢
- 性別:オス(去勢済)
- 体重:6kg
- 主訴:性格変化、ヘッドプレス
- 診断名:嚢胞性髄膜腫(病理:髄膜腫グレード1)
- 実施検査:神経学的検査、MRI検査、血液・凝固検査
- 術式:経前頭洞脳腫瘍切除術(部分切除を含む)
- 術後評価:MRIで嚢胞の退縮と脳の復位傾向を確認
- 担当獣医師:長谷川大輔(脳神経部門 てんかん外科ユニット)
来院時の様子と検査・診断の流れ
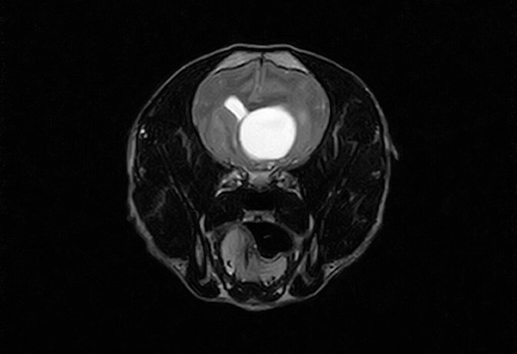
来院時、歩行は可能でしたが、四肢の固有受容(CP=姿勢反応)が低下し、趾端の過敏がみられました。凶暴性のため一部の評価が難しい項目もありましたが、視覚は保たれていました。神経学的検査所見から前頭葉領域の障害を疑い、MRI検査で左側に巨大な嚢胞を伴う腫瘍性病変が示唆されました。
鑑別としては髄膜腫のほか、神経膠腫などの脳腫瘍、炎症性病変が挙げられます。手術に備えて血液検査と凝固検査を行い、周術期リスクを評価しました。
手術内容の説明
本症例では、前頭洞を経由して頭蓋内へ到達するアプローチを選択し、まず嚢胞内液を排出して脳の圧迫を軽減しました。その後、脳、髄膜および骨に癒着した腫瘍の主要部分を切除しましたが、術前MRIで重要な脳血管を巻き込む可能性が高い部位は、安全性を優先して温存しました。頭蓋はプレートや骨セメント等を用いて再建しています。摘出組織の病理組織学的検査の結果はグレード1(良性)の髄膜腫でした。
期待できることは、脳圧迫の解除に伴う神経症状の改善や進行抑制です。一方で、完全切除が難しい場合には再増大の可能性が残るため、術後も画像検査での経過観察が重要です。

▲Carl Zeiss社製 手術用顕微鏡システム『KINEVO 900』
麻酔管理と術中のポイント
脳外科手術では、脳灌流圧を保つための血圧管理と、呼吸管理による二酸化炭素の安定化が重要になります。また体温低下は回復遅延につながるため、保温を含む全身管理を行います。本症例でも周術期の循環・換気・体温を軸にモニタリングし、麻酔後は速やかに覚醒して起立・歩行が可能でした。
安全に最大限配慮しながら麻酔管理を行いましたが、どのような麻酔にも一定のリスクは伴います。
術後の経過と今後の注意点
術直後MRIでは嚢胞の退縮と、脳が正常位置に戻る兆候が確認されました。術後は数日間の入院下で創部や包帯の管理を行い、抜糸後に退院としました。今後は囊胞の再発や腫瘍の再増生、周辺脳浮腫の評価のため、数ヶ月後のMRI再検が推奨されます。

▲pre

▲after
ご家庭で注意してほしいポイント
- 退院後しばらくは興奮や激しい運動を避け、安静を優先する
- すべりやすい床では転倒しやすいので、マット等で環境を整える
- 創部を掻かないようにし、腫れ・滲出・出血があれば受診する
- ふらつき、意識低下、けいれん様発作など神経症状があれば早めに相談する
- 内服薬がある場合は指示通りに投与し、嘔吐や食欲低下が続くときは連絡する
- 再診や画像検査の予定を守り、変化があれば記録して共有する
同じ症状の症例を診る獣医療関係者へのメッセージ
ヘッドプレスや性格変化は、前頭葉病変を示唆する重要なサインです。巨大嚢胞を伴う病変では、嚢胞減圧が救命的に働く一方、血管巻き込み例では全摘に固執せず、安全域を見極めた部分切除と術後画像評価が現実的な選択となります。紹介のタイミングは神経学的進行度と脳ヘルニアの兆候を踏まえて判断するとよいでしょう。
FAQ(よくある質問)
Q1. 髄膜腫は「良性」と言われたのですが安心してよいですか?
A. 一般的に髄膜腫グレード1は悪性度が低いとされますが、部位や残存の有無で経過は変わります。画像検査でのフォローが大切です。
Q2. 退院後に気を付けるべき神経症状は何ですか?
A. ふらつき、旋回、意識がぼんやりする、けいれん様発作などが目安になります。急な悪化があれば早めに受診してください。
Q3. 再発のチェックはどのくらいの頻度で必要ですか?
A. 一般的には術後数か月でMRIを行い、その後は経過に応じて間隔を調整します。犬や猫いずれも、生活の質を保つために早期把握が重要です。
※通院回数や必要なお薬は、状態や術後経過によって変わります。
※本記事の内容は、当院で実際に診療した一例をもとにした一般的な説明です。診断や治療の方針は、犬や猫それぞれの状態によって異なります。