僧帽弁閉鎖不全症(MR)は小型犬で多い心疾患で、進行すると肺うっ血や胸水など心不全症状につながります。本症例では僧帽弁閉鎖不全症に罹患する9歳齢のマルチーズに対し、弁輪縫縮と腱索再建による僧帽弁形成術を実施しました。術後は循環・呼吸の変化に注意しながら集中管理を行い、術後4日目に退院しました。僧帽弁閉鎖不全症と診断された場合に咳や呼吸数の増加、運動不耐性などが見られた際には、早めに動物病院で評価することが重要です。
症例の概要
・動物種:犬(マルチーズ)
・性別:オス(去勢済)
・体重:1.9kg(入院中1.84〜2.0kg)
・年齢:9歳
・主訴:心不全の治療相談
・診断名:僧帽弁閉鎖不全症
・実施検査:血液検査、胸部X線検査、心臓超音波検査、血圧検査
・術式:僧帽弁弁輪縫縮・腱索再建
・併存/リスク要因:低体重、低アルブミン血症
・担当獣医師:諌山 紀子(循環器部門)

来院時の様子と検査・診断の流れ
本症例はかかりつけ医で最近急に心臓病の悪化を指摘されて手術の相談で来院されました。来院時の胸部X線では肺水腫は確認されず、肺野に明らかな異常は認めませんでしたが、顕著な心拡大がありました(VHS 12.0)。
心臓超音波検査では僧帽弁閉鎖不全症とそれに伴う心拡大が確認されました(LA/Ao 2.0)。
血液検査では低アルブミン血症が見られました。これらは周術期の血液凝固や浮腫に影響し得るため、推移の確認を行いました。そのほかに手術に影響を及ぼす可能性がある併発疾患が確認されなかったため、僧帽弁閉鎖不全症の手術が適応になると判断されました。
手術内容の説明
本症例で実施した弁輪縫縮は、拡大した僧帽弁輪を縫縮して弁尖の接合を改善し、逆流量の低減を目指す手技です。腱索再建は、断裂や伸長して噛み合わせがずれてしまった弁尖の高さを揃えます。これらを組み合わせることで、逆流する血液を減らし、症状の改善や内科管理の負担軽減が期待できます。
一方で、血栓塞栓症、出血、感染、心機能の低下など周術期合併症のリスクはゼロではありません。術後は検査所見と臨床徴候を踏まえ、必要に応じて薬物治療を継続します。

麻酔管理と術中のポイント
小型犬では血液量が少なく、少量の出血や輸液、微量の薬の調整で循環変動が起こりやすく、きめ細かなモニタリングが重要です。酸素飽和度、血圧、心拍数、体温に加え、動脈カテーテルを用いた血圧モニタリングを行い、尿道カテーテル留置により尿量も指標として循環動態の把握に努めます。循環器外科の麻酔ではすべての水分の出入りを記録して、循環維持のために微量点滴や昇圧薬などの特殊薬を使用します。
安全に最大限配慮しながら麻酔管理を行いますが、どのような麻酔にも一定のリスクは伴います。

術後の経過と今後の注意点
手術直後は血圧、心拍数、点滴量や尿量など循環を細かく整えて心臓が回復するのを待ちます。不整脈や出血がないことを確認し、超音波検査を繰り返して心臓の変化に合わせて点滴や内服を調整します。

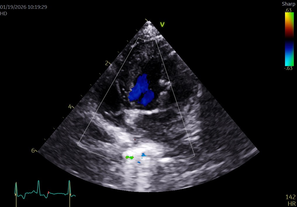
▲心エコー(左心尖長軸四腔断面像)(術前)

▲同上(術後1ヶ月)
特に術後3日間は手術による合併症の危険が高い時期に当たり、炎症、貧血、出血、急性腎不全、膵炎、不整脈、血栓症などの危険があります。介入の程度を図りながら回復を待ち、回復傾向にあることが確信的になると退院が可能になります。本症例は術後安定して推移したため、抗菌薬、制吐薬、抗血栓薬、強心薬(ピモベンダン)などの内服を処方して術後4日目に退院しました。

ご家庭で注意してほしいポイント
・安静を保ち、運動は主治医の指示があるまで制限する
・呼吸数の増加、咳、舌色の変化、失神様のふらつきがあれば早めに受診する
・食欲低下や嘔吐が続く場合は内服の可否を含めて相談する
・皮膚切開部は舐めさせず、腫れ、滲出、悪臭があれば連絡する
・抗血栓薬は中断せず、出血(歯肉出血、血尿、黒色便など)があれば受診する
・水分、食事量は心不全管理の方針により変わるため、指示どおりに調整する
同じ症状の症例を診る獣医療関係者・飼い主へのメッセージ
僧帽弁閉鎖不全症の手術は治療の選択肢として一般的になりつつあります。手術は心拡大が進行してきた肺水腫手前の段階(ACVIM ステージB2)から、肺水腫を呈した段階(ACVIM ステージC ) 、および難治性の段階(ACVIM ステージD ) まで広く適応になります。
手術可能な年齢も幅広く、健康であれば高齢でも手術を検討することがあります。発作やホルモン疾患など基礎疾患がある場合にも、コントロールが良好であれば手術は可能です。手術の適応に迷う場合にはご相談ください。
FAQ(よくある質問)
Q1.何歳までに手術するべきですか?
高齢でも他に命に関わる疾患が無ければ手術を行うことがあります。対して若齢でも様々な疾患を抱えている場合、手術をお勧めしないこともあります。また肺水腫を経験している場合は予後が長くありません。次の肺水腫が起きる前に手術出来たら理想的ですが、予想はつかないため、早めの行動をおすすめします。
Q2. 薬はいつまで飲みますか?
術後3ヶ月目までは抗血栓薬が必要です。
また心臓の薬は休薬を目指しますが、心機能の低下や不整脈などがあると術後も続ける場合があります。
Q3. 術後の通院頻度は?
退院後一週間、二週間、四週間、三ヶ月、六ヶ月、一年が基本になりますが、通院回数や必要な薬は状態で変わります。
※本記事の内容は、当院で実際に診療した一例をもとにした一般的な説明です。
診断や治療の方針は、犬や猫それぞれの状態によって異なります。